Before
After
Before
After
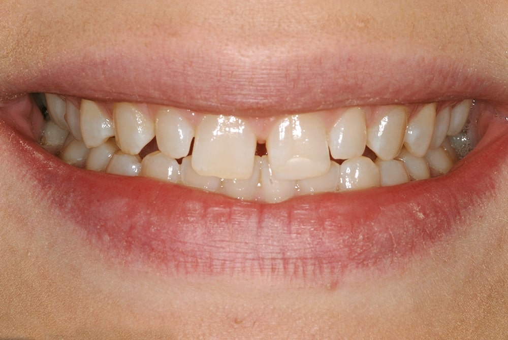
Alicia was unhappy with her old crowns on her front teeth and noticed her gumline appeared uneven.
After designing her ideal smile, we performed a comprehensive treatment that included bleaching her lower teeth, contouring her gum tissue on the upper arch, and then placing four new crowns and four veneers on her top 8 teeth.
Alicia now feels confident showing a big smile!
Before
After
Before
After
Lori is a young, beautiful girl who presented with her 2 lateral incisors (the teeth right next to her front teeth) looking like they did not fit in with her smile.
We designed a new smile, which entailed bleaching her natural teeth, followed by placing 2 porcelain veneers on her lateral incisors that were balanced in size and shape, along with matching them to her natural teeth.
Lori's new smile was achieved with minimal therapy but give a remarkable result!
Before
After
Before
After
Liz neglected her teeth for years due to fear of going to the dentist as a result of previous bad experiences. As a young, attractive woman, she felt it was necessary to repair the damage for health reasons, along with improving her appearance.
We designed a new smile, which entailed doing some minor gingival (gum) work along with placing ceramic restorations on her 8 front teeth in a light natural color, plus repairing any of her other damaged or decayed teeth with tooth-colored restorations.
Not only is her smile restored, but also her confidence in seeing the dentist!
Before
After
Before
After
Ginger is a very attractive woman with a big smile, but years ago she had restorations placed on her front teeth that have chipped and stained over time, leaving her with an unattractive smile.
Ginger wanted "Hollywood" white teeth, so we placed 8 new porcelain veneers on her top teeth.
She now has the smile she has always dreamed of.
Before
After
Before
After
Giselle, an attractive young woman, was unhappy with her teeth, which made her uncomfortable when smiling. Her teeth were too short, not proportionally balanced, and discolored.
After creating a smile design, we treated Giselle by bleaching her upper and lower teeth and placing veneers on her front 6 teeth to restore them to more natural proportions and a lighter color.
Giselle's new smile has made her even more attractive and confident!
Before
After
Before
After
Leissa is a very attractive woman whose teeth have been treated at various times in her life, leaving her with a patchwork appearance which made her unhappy and not enjoy smiling.
After creating a design that Leissa wanted, we placed a combination of veneers and crowns on her top 10 teeth.
Now when Leissa smiles, she feels confident that her smile appears natural and beautiful to her and those who see her smile.
Before
After
Before
After
Kristina, a young, outgoing, and attractive woman, didn't like the gaps between her small front teeth along with their color.
We bleached Kristina's top and bottom teeth, modified the gum tissue so it appeared more natural, and then placed ceramic restorations on her front top 6 teeth to close the gaps, correct their shape and size, and give them a natural light shade.
Kristina now has a smile to be proud of!
Before
After
Before
After
Bruce enjoys smiling but felt his teeth were making him look older, causing him to feel uncomfortable when smiling.
We designed a new smile for Bruce, which he loved. The final treatment involved placing 10 porcelain veneers on the top teeth and 10 veneers on the bottom teeth to restore Bruce's teeth to how they looked many years before.
Bruce now feels very confident when smiling!
Before
After
Before
After
Bob, a highly successful businessman with an outgoing personality, felt his teeth were unsightly and negatively impacted his interactions with clients.
After evaluating his smile design, Bob opted for porcelain veneers on all visible top teeth when smiling. We placed 10 veneers with a light natural color.
Bob now smiles with confidence that complements his personality.
Before
After
Before
After
Mark was the type of patient who for many years neglected his teeth, resulting in a lot of decay, loss of teeth, and an unsightly smile.
After designing a new smile for Mark, he engaged in specialized treatment including gum surgery and implant placement, followed by placing all-ceramic restorations for all his teeth.
Mark now has a beautiful new smile and is motivated to maintain his teeth with regular dental check-ups.
